Galeria
Casos Clínicos
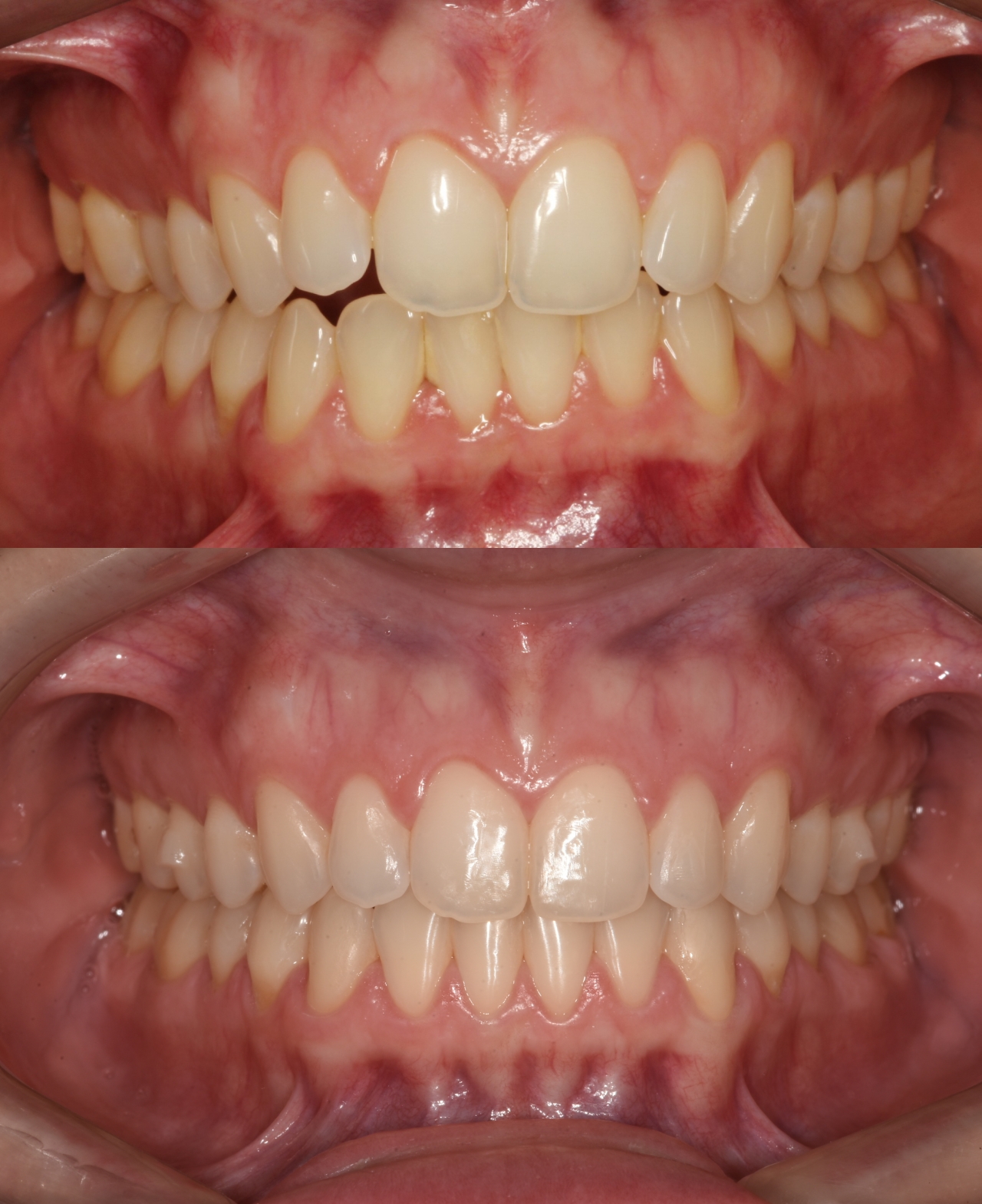
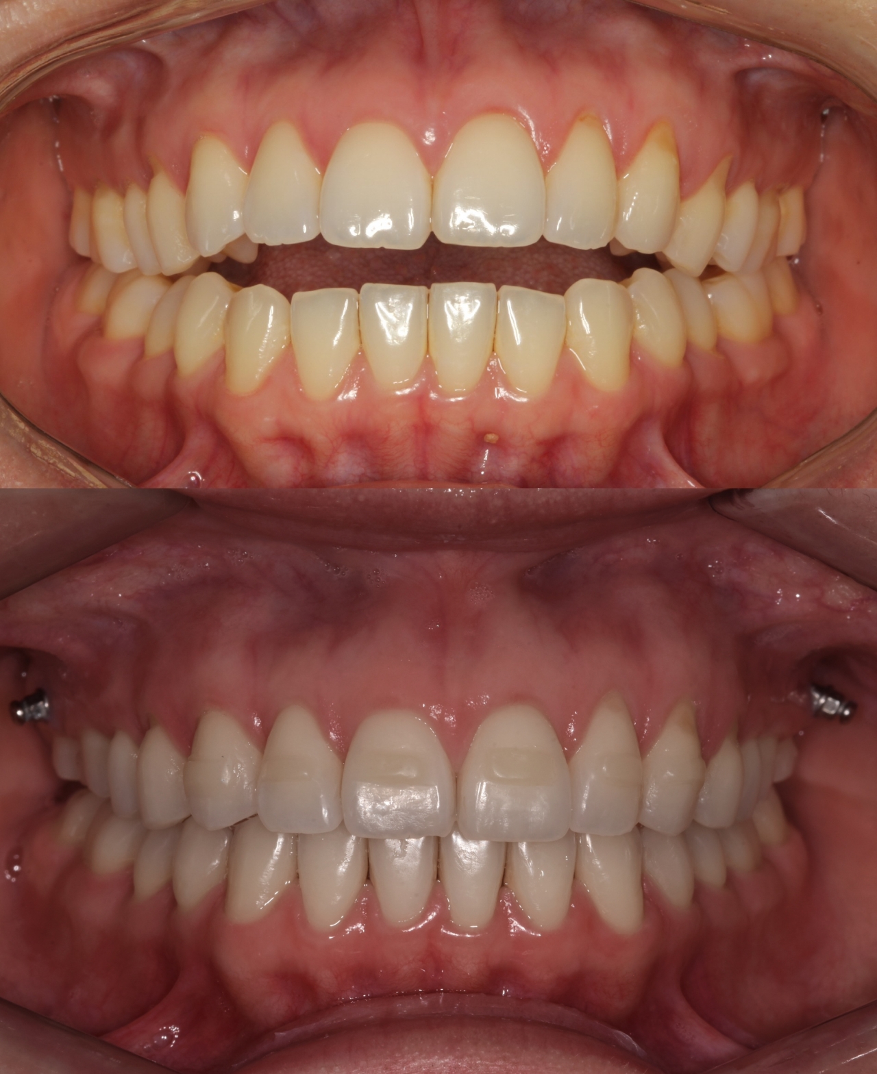
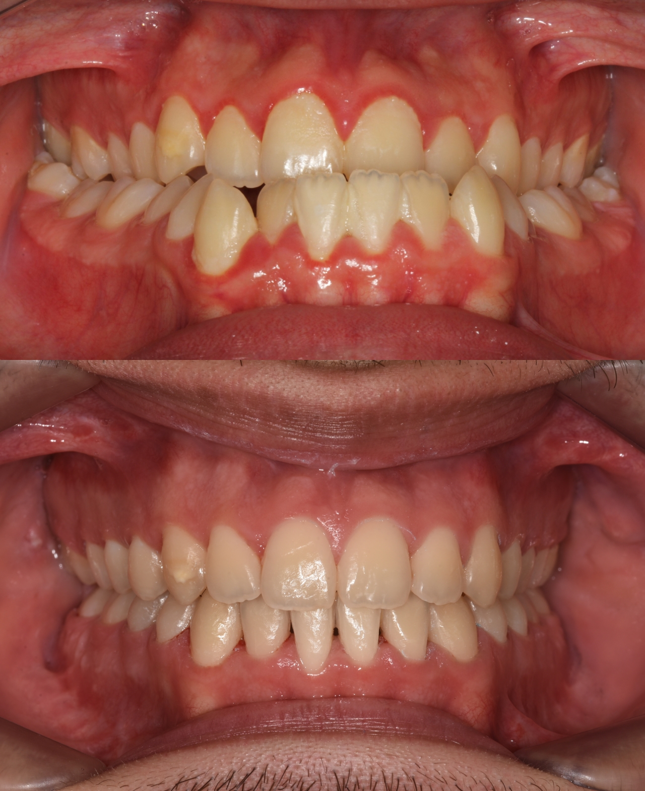
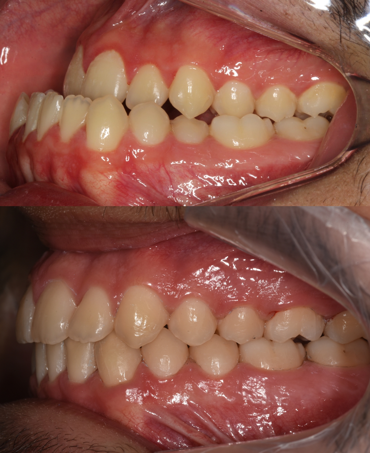
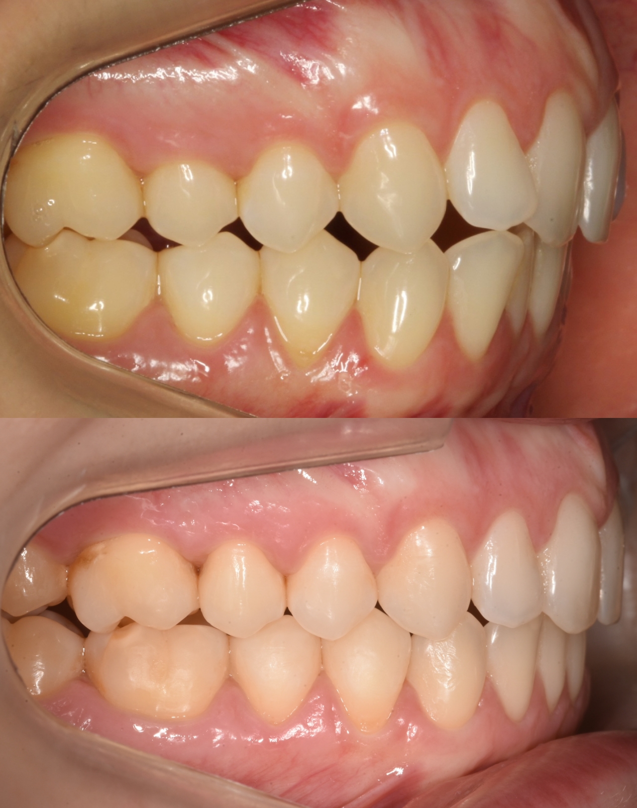
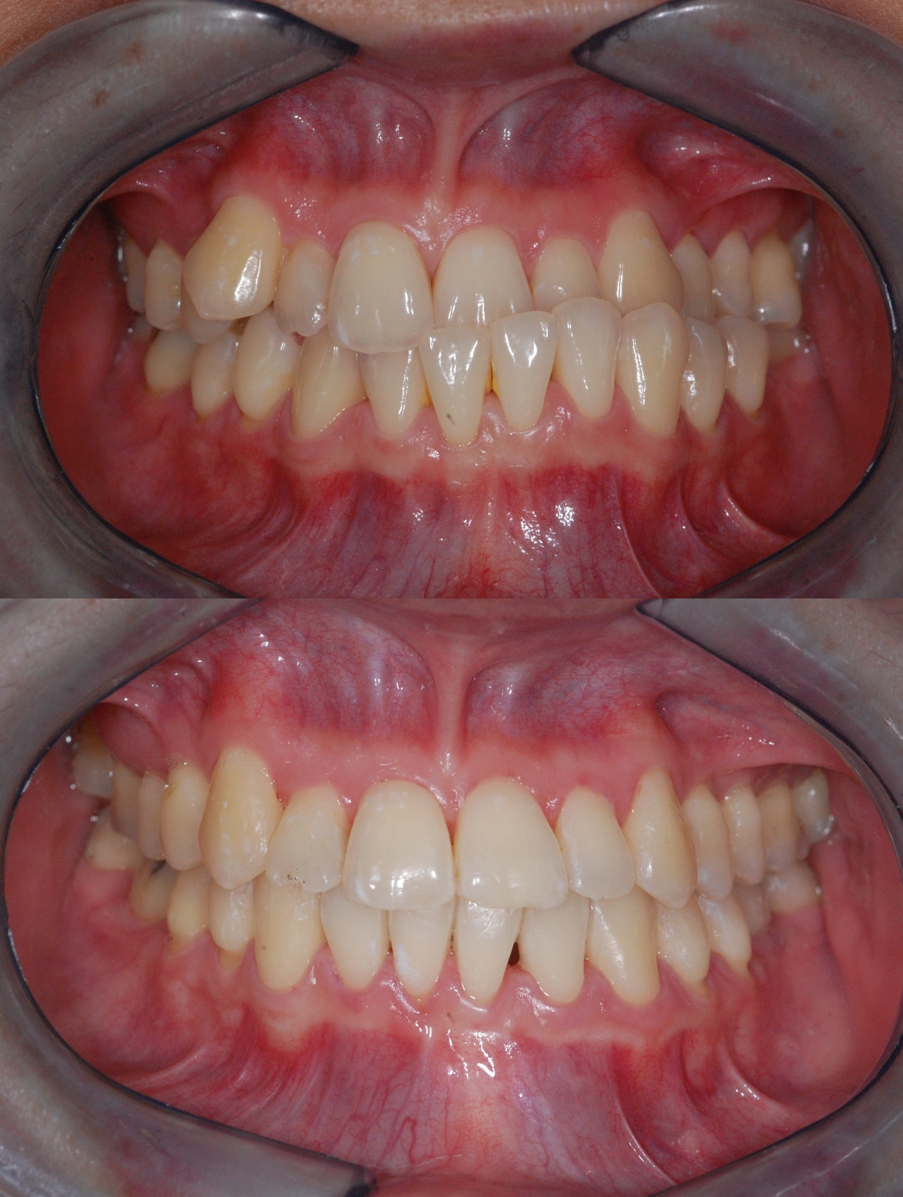
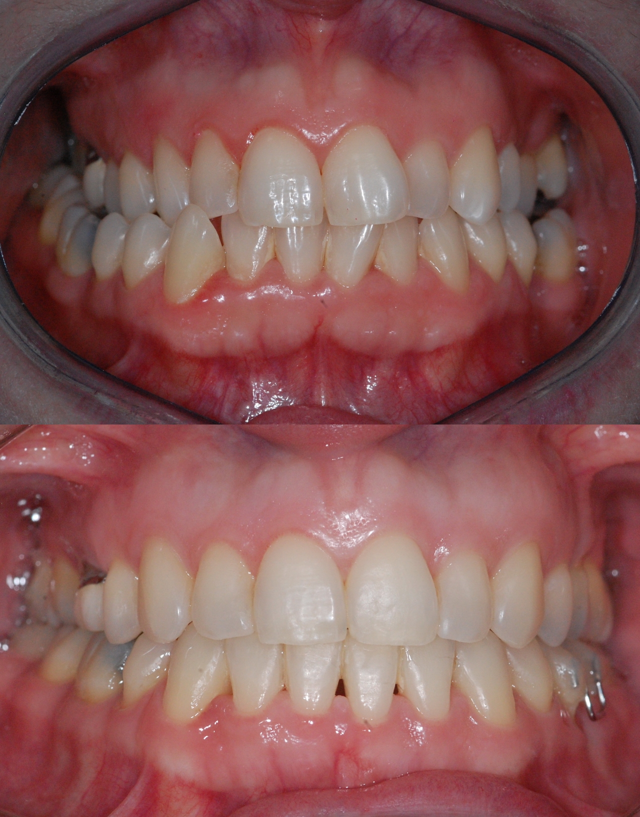
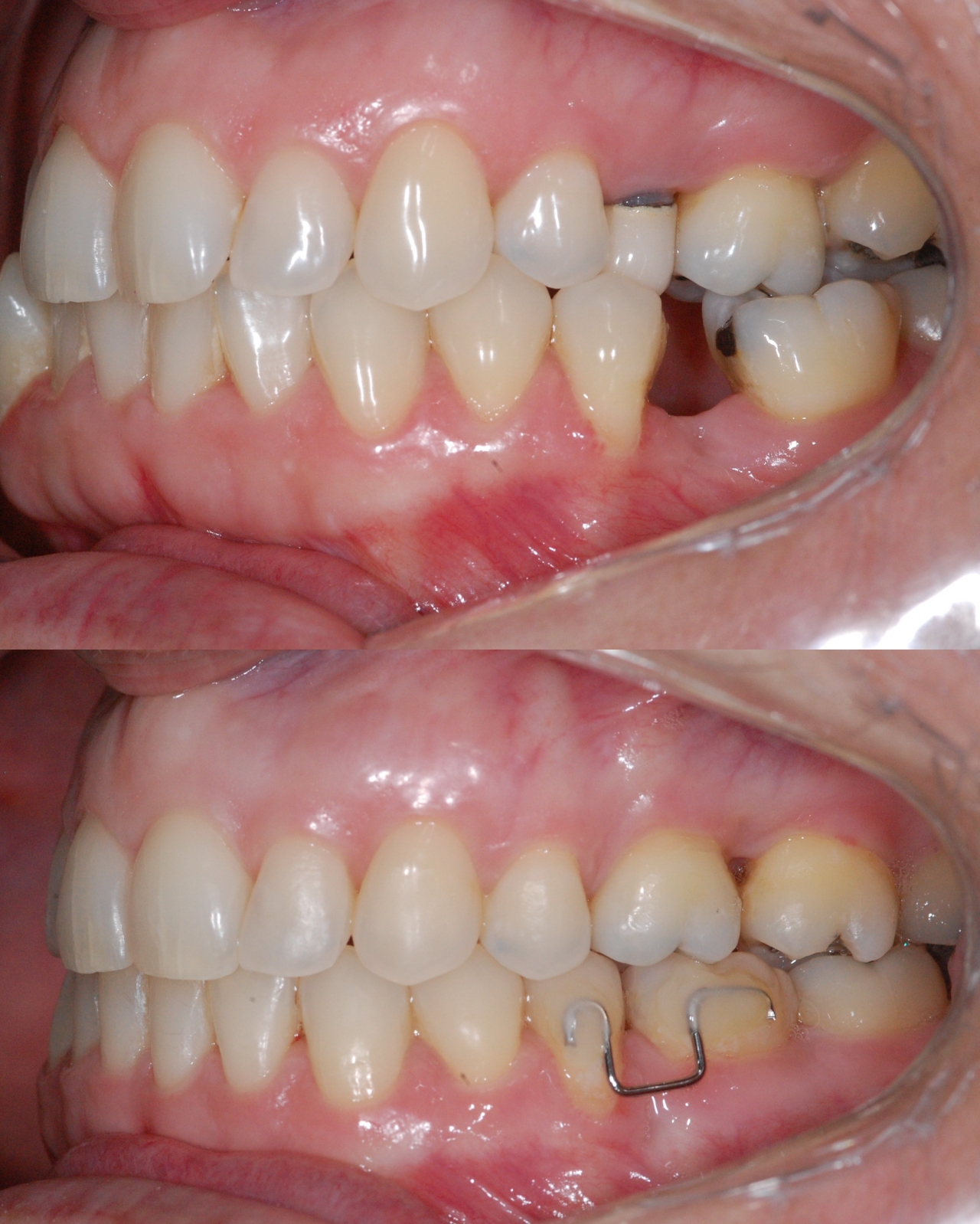
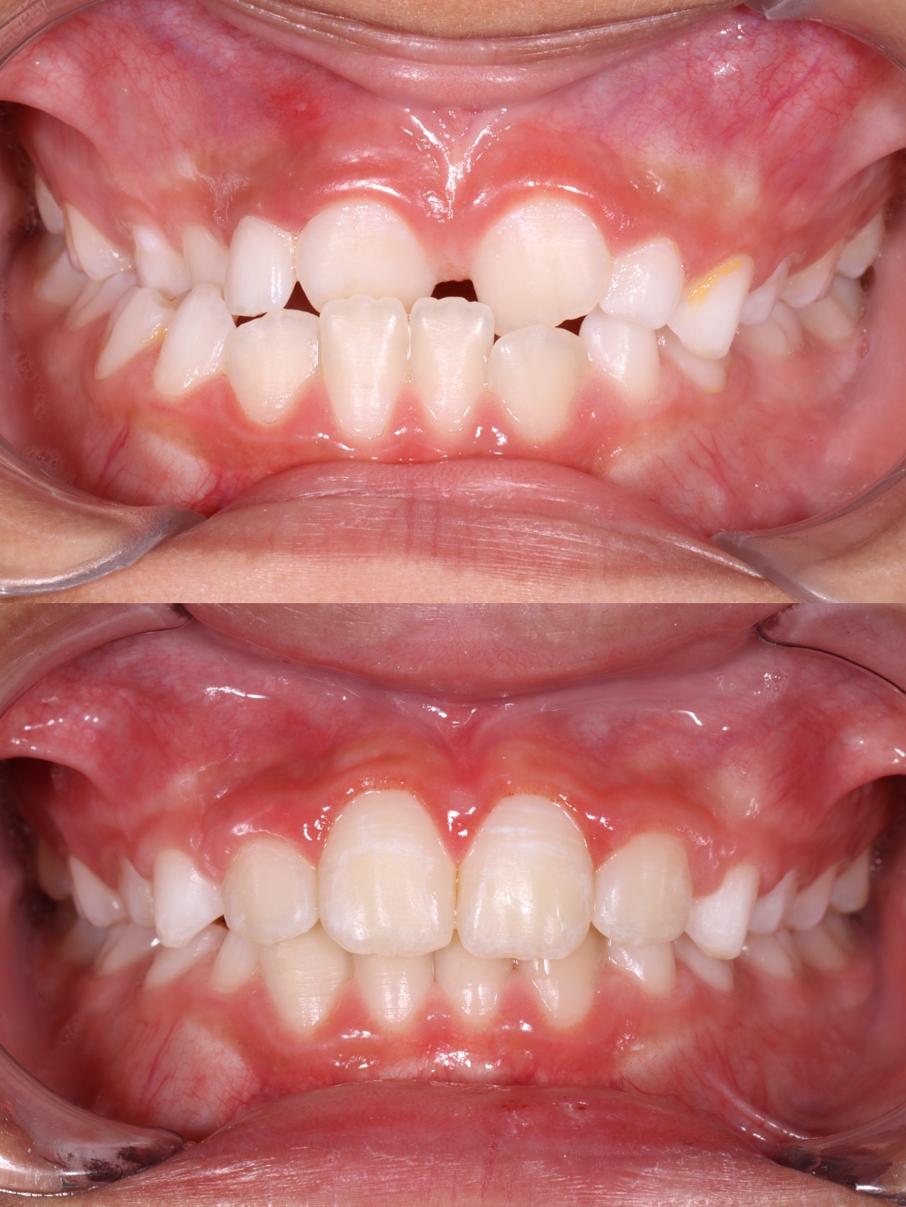
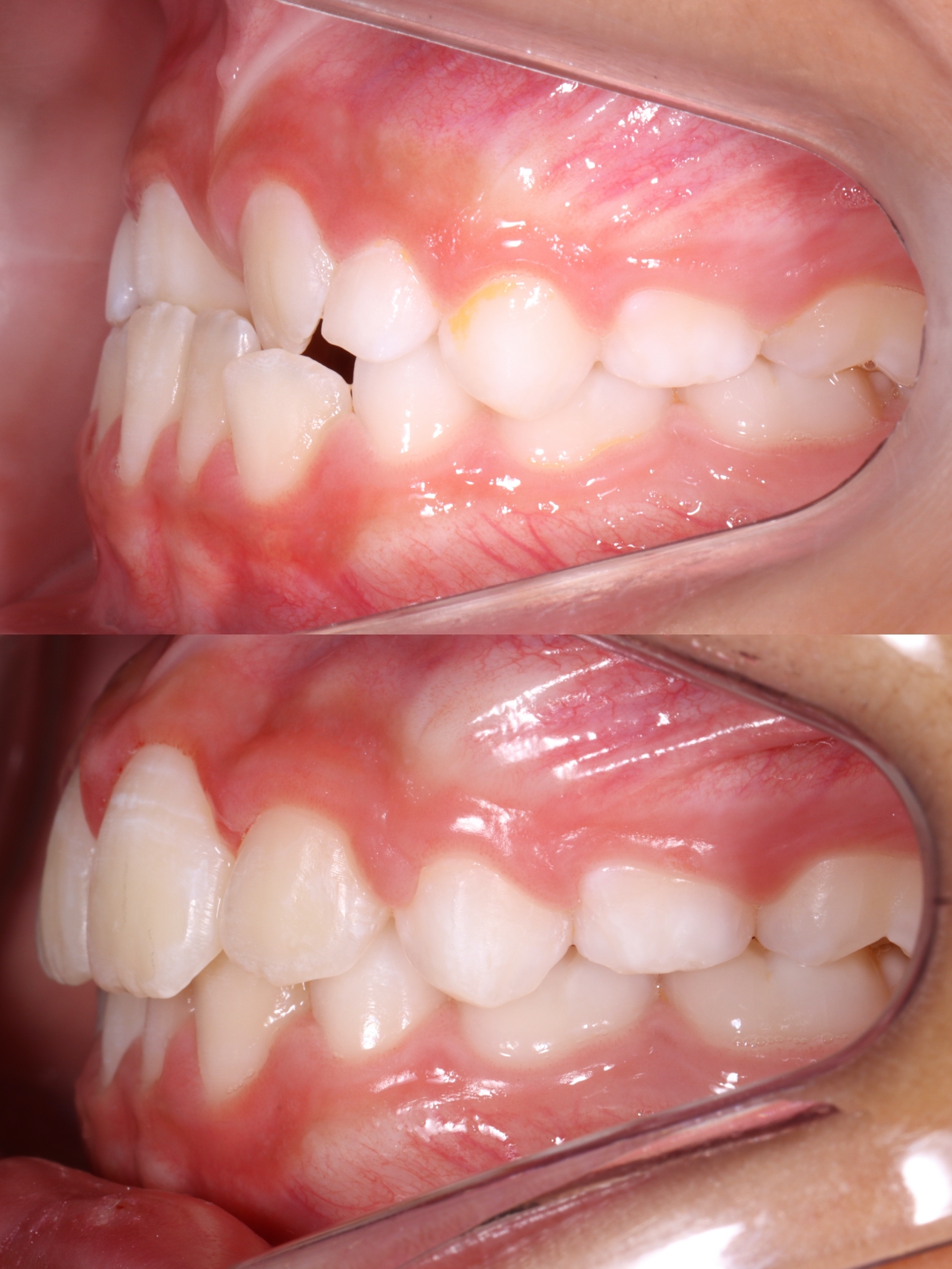
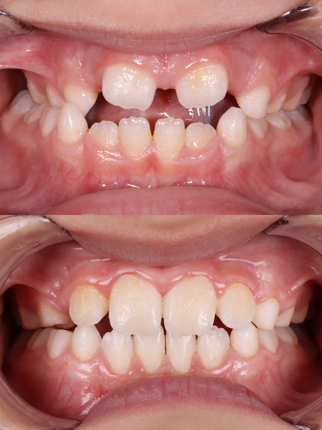
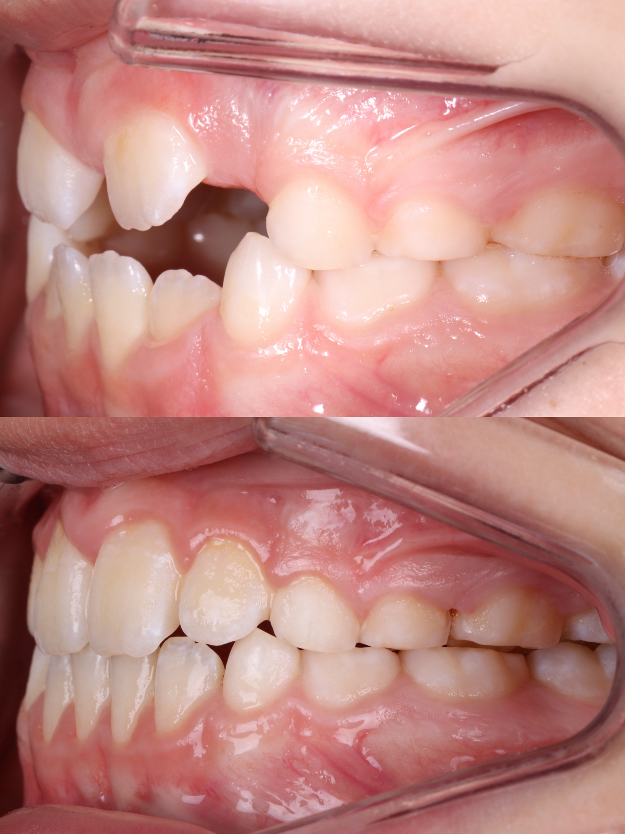
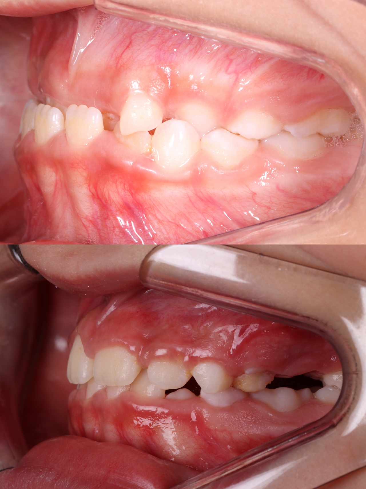
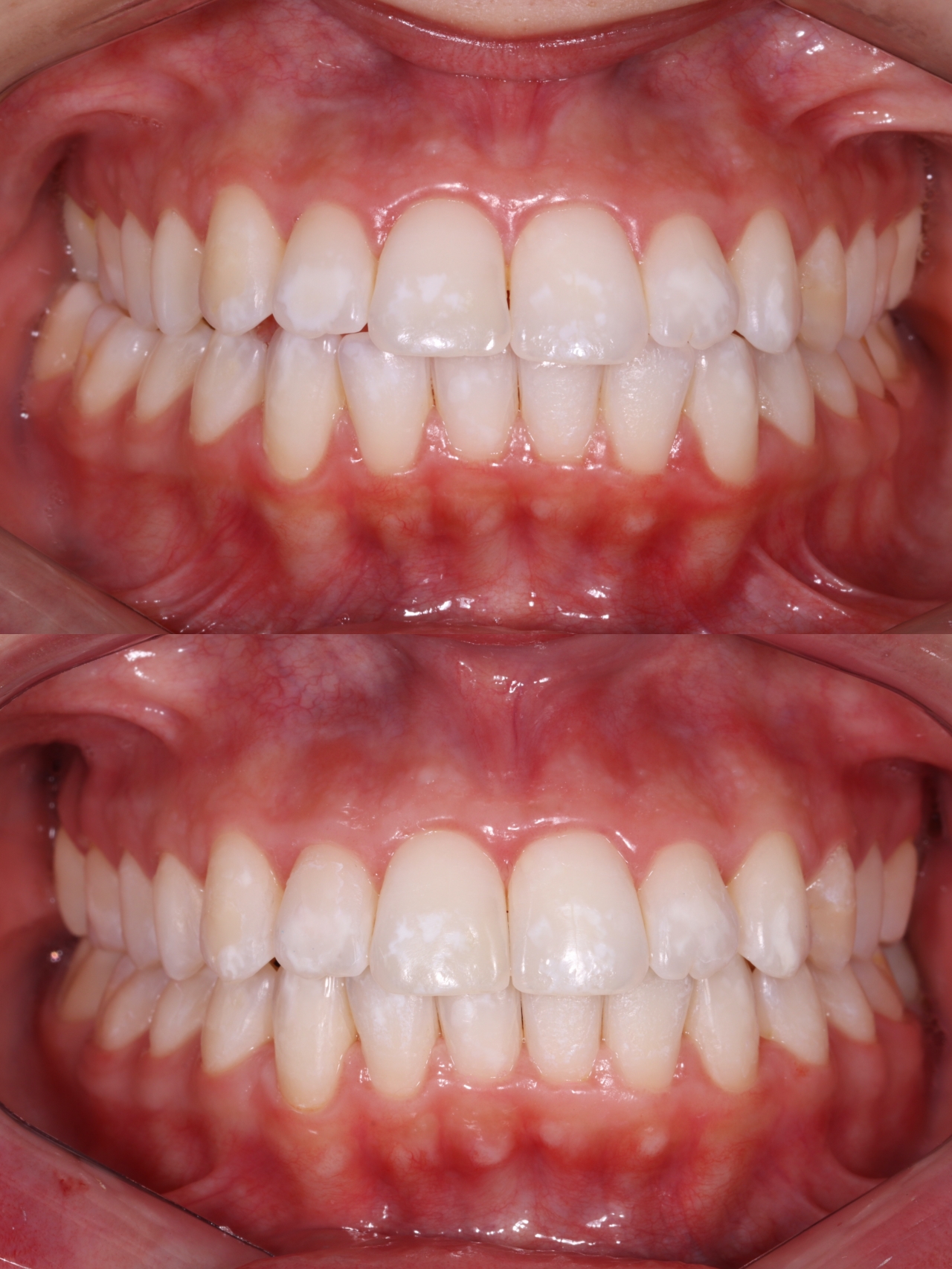
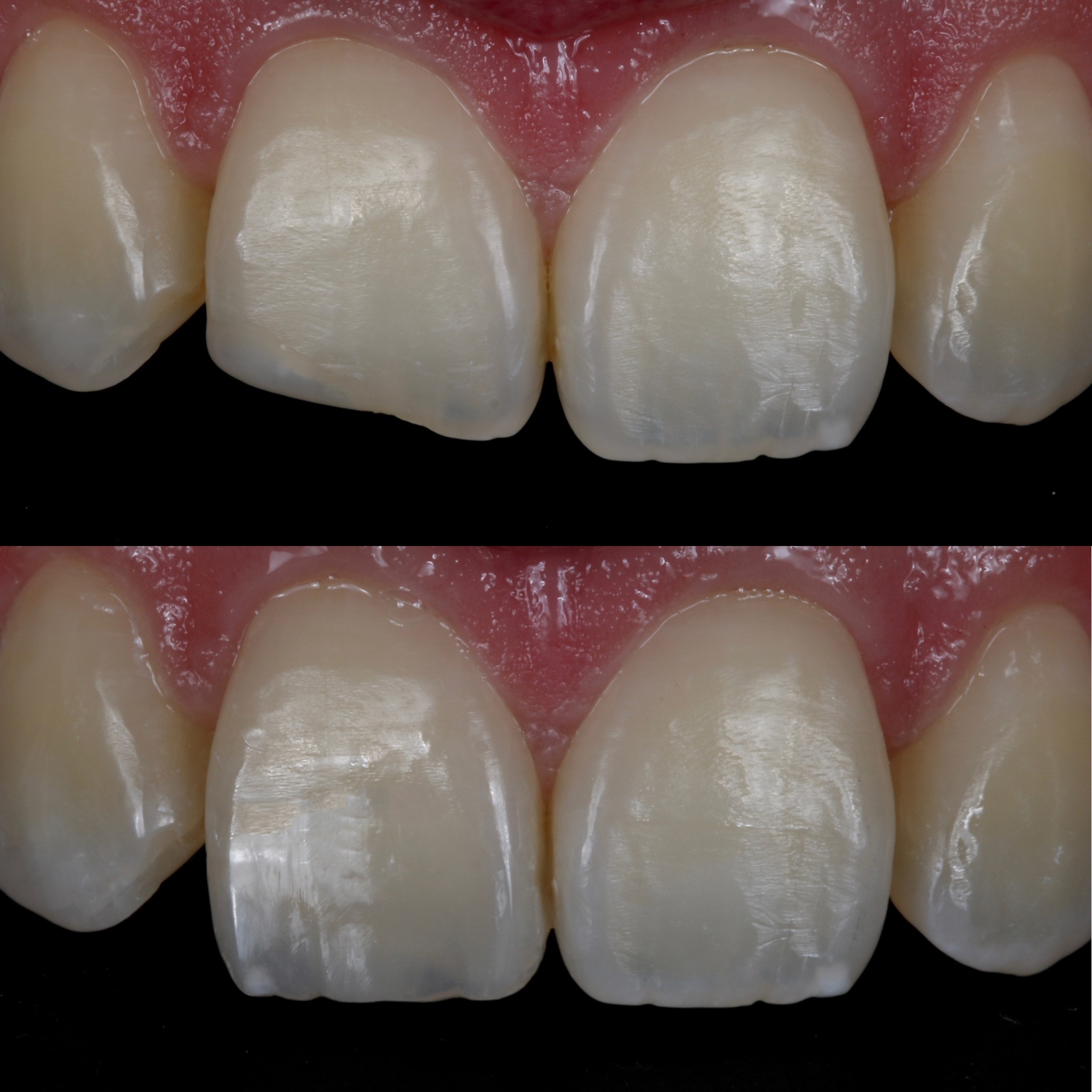
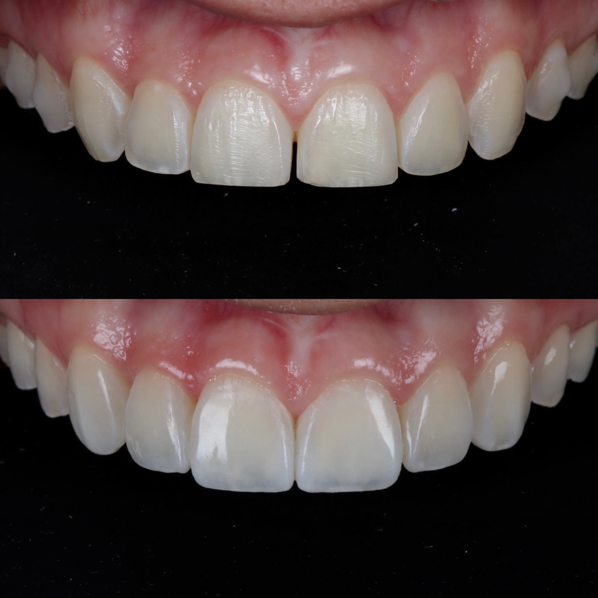
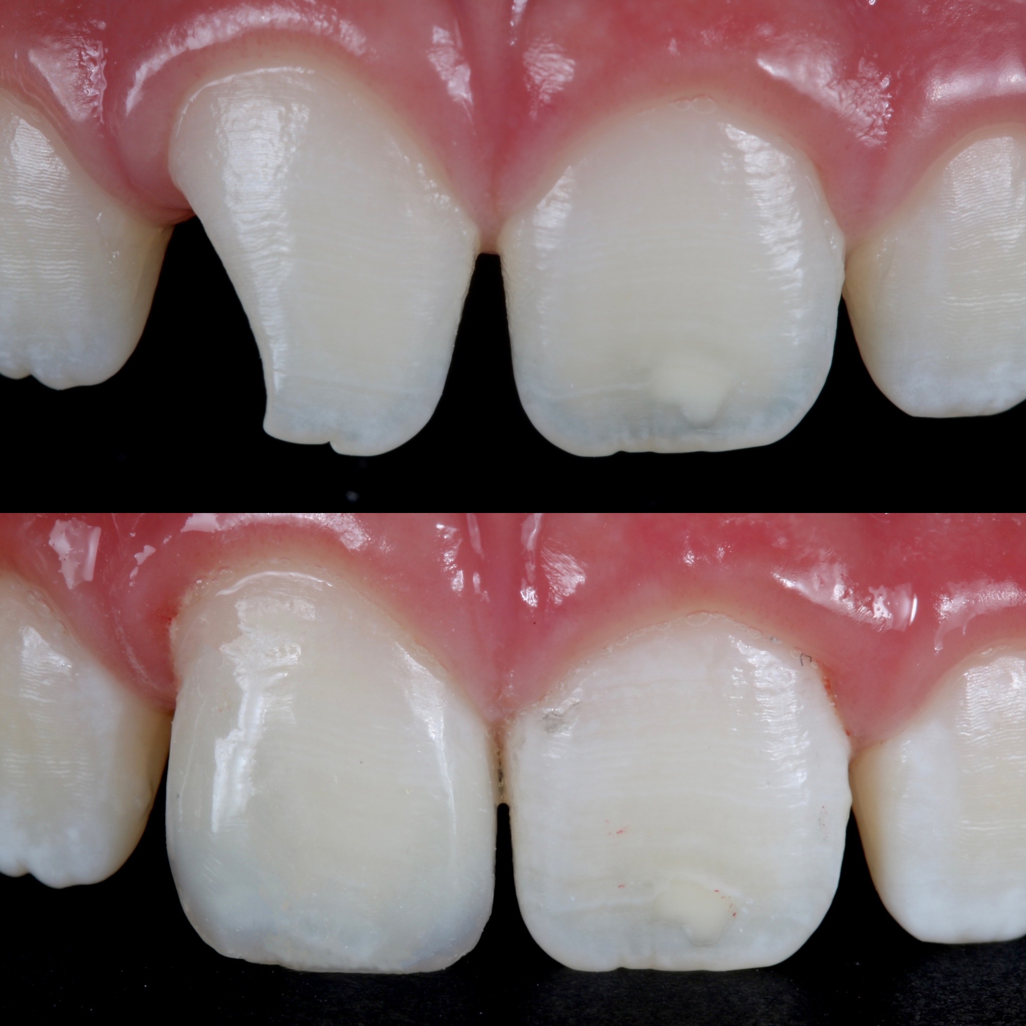
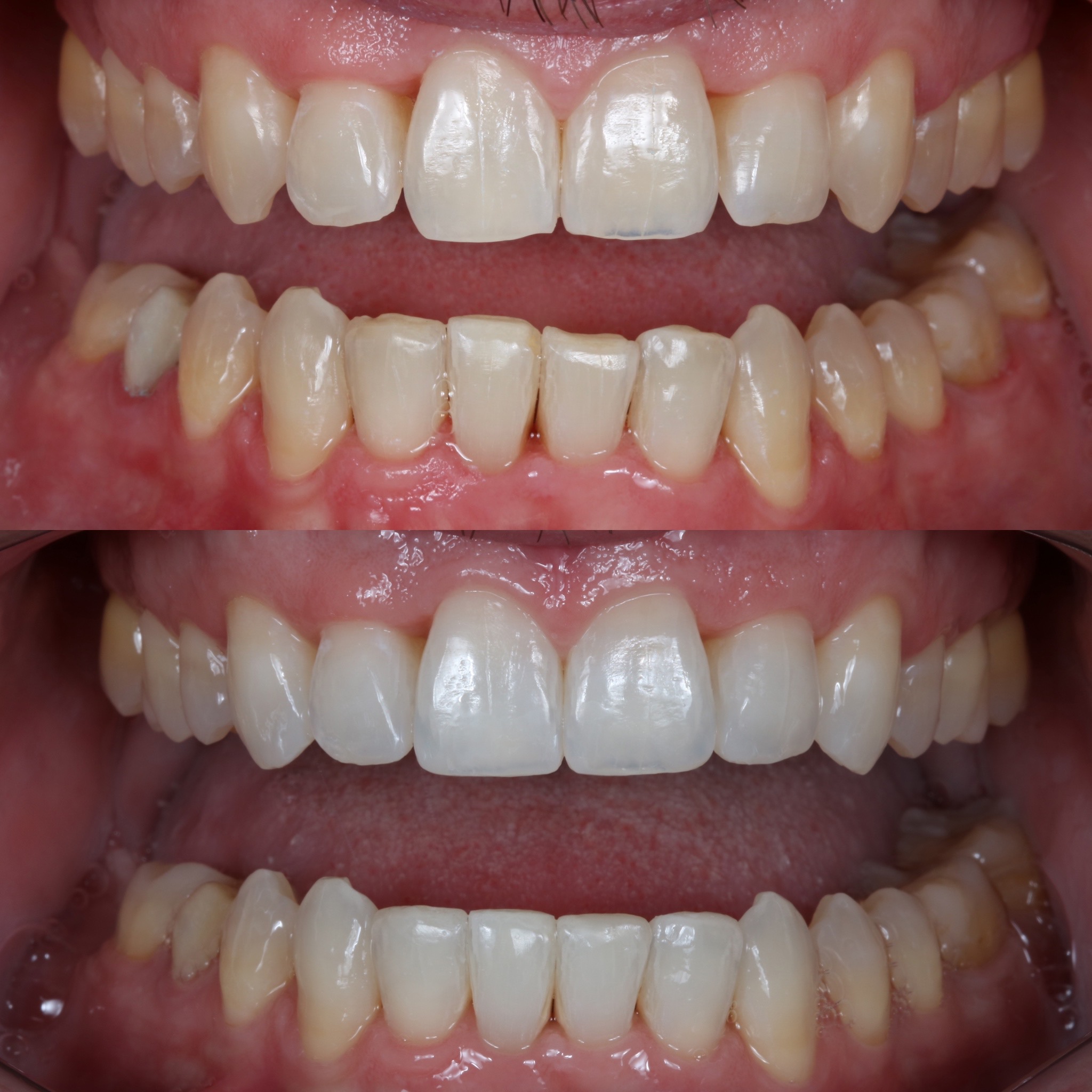
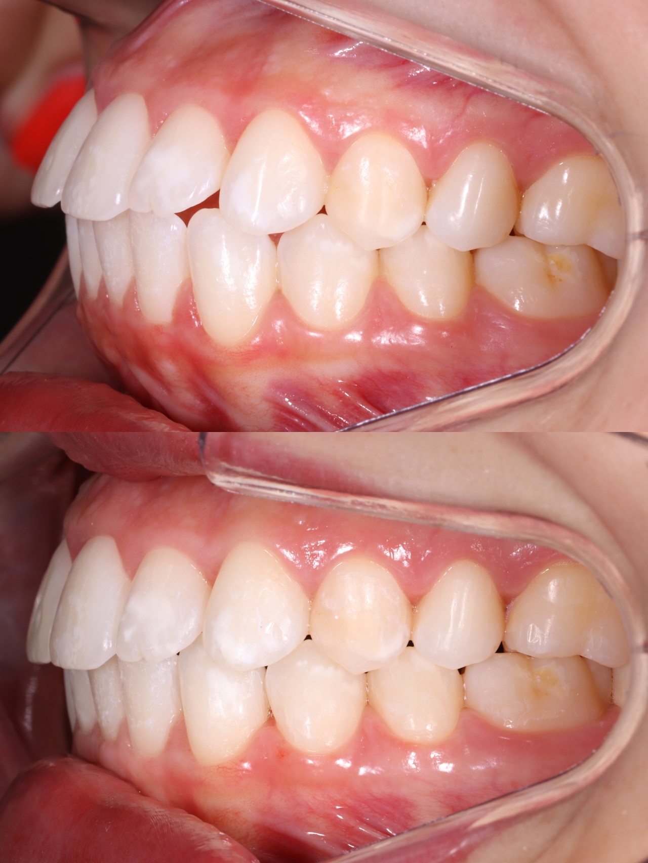
Confira fotos de antes e depois de casos clínicos atendidos na clínica em diferentes especialidades
















×
Confira fotos de antes e depois de casos clínicos atendidos na clínica em diferentes especialidades















